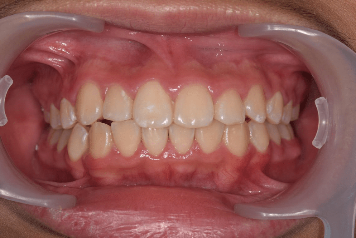
Damon Q Self-Ligating braces
Male, 12 yrs
No. of permanent teeth removed – Zero
Approx. no. of adjustments – 12
Twin braces – 3M
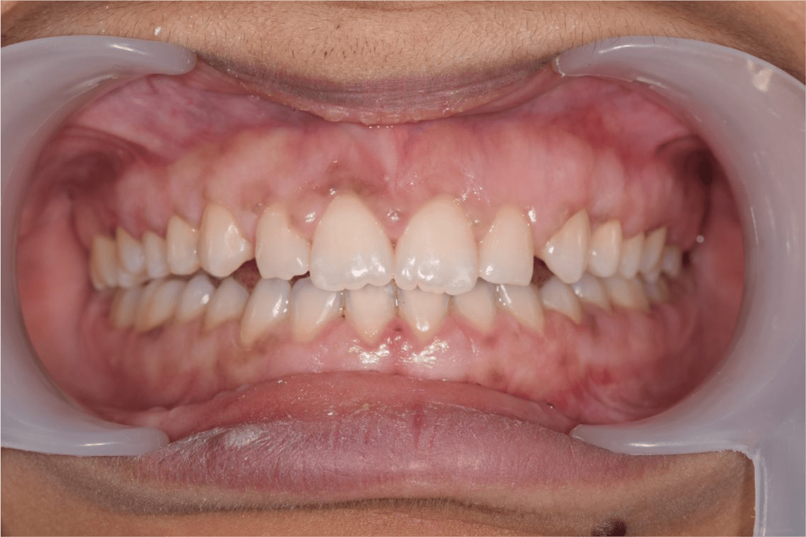
Female, 25 yrs
No. of permanent teeth removed – Zero
Approx. no. of adjustments – 18
Twin braces – 3M
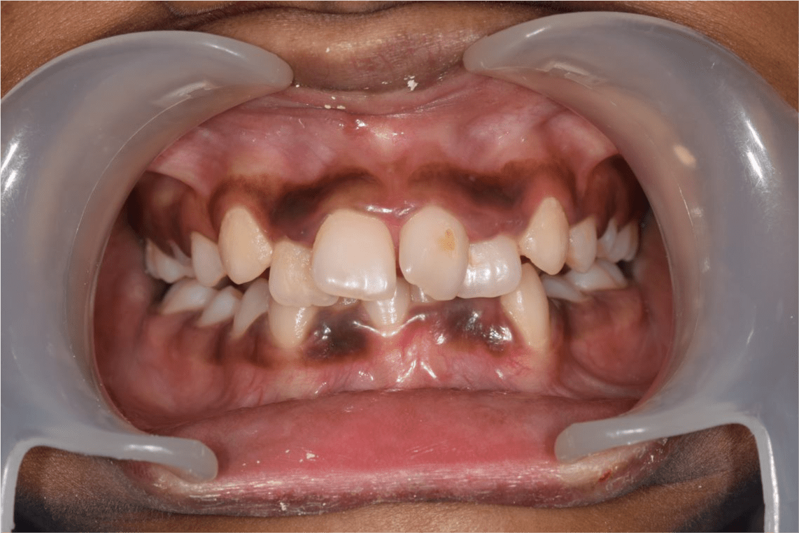
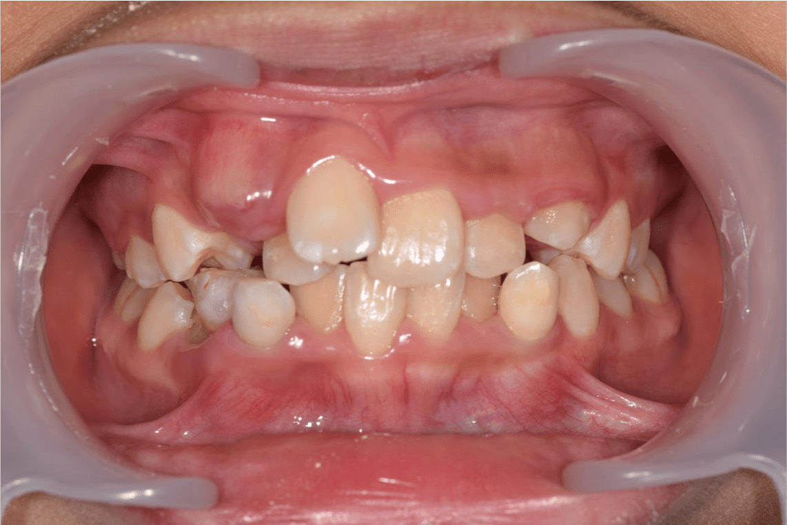
Male, 30 yrs
No. of permanent teeth removed – Zero
Approx. no. of adjustments – 15
Damon Q Self-Ligating braces
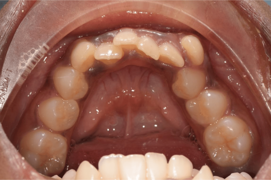
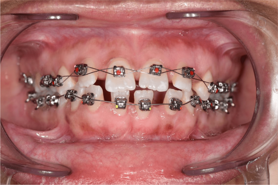
Female, 32 yrs
No. of permanent teeth removed – Zero
Approx. no. of adjustments – 16
Twin braces – 3M
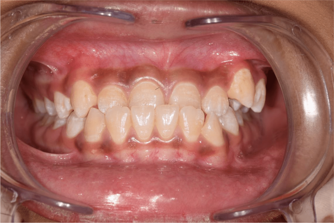
Male, 13 yrs
No. of permanent teeth removed – Zero
Approx. no. of adjustments – 18
Twin braces – 3M (with Lower jaw advancement device)
Female, 13 yrs
No. of permanent teeth removed – Zero
Approx. no. of adjustments – 22
Twin braces – 3M
Female, 11 yrs
No. of permanent teeth removed – Zero
Approx. no. of adjustments – 12
Damon Q Self-Ligating braces
Male, 12 yrs
No. of permanent teeth removed – Zero
Approx. no. of adjustments – 12
Damon Q Self-Ligating braces
Female, 15 yrs
No. of permanent teeth removed – Four
Approx. no. of adjustments – 16
Damon Q Self-Ligating braces
Female, 11 yrs
No. of permanent teeth removed – Zero
Approx. no. of adjustments – 10
Damon Q Self-Ligating braces
Female, 12 yrs
No. of permanent teeth removed – Zero
Approx. no. of adjustments – 15
Damon Q Self-Ligating braces
Female, 12 yrs
No. of permanent teeth removed – Zero
Approx. no. of adjustments – 15

